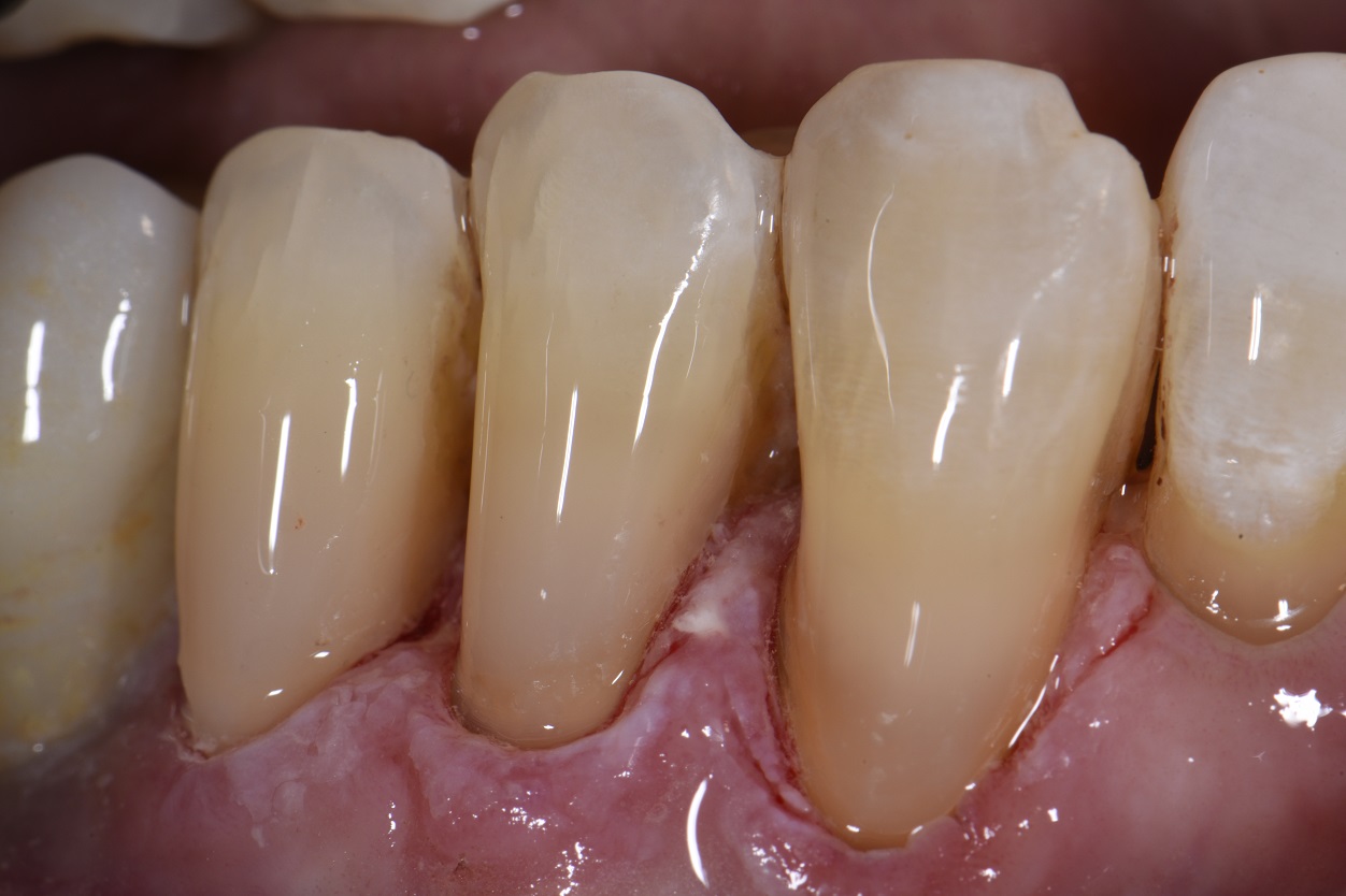
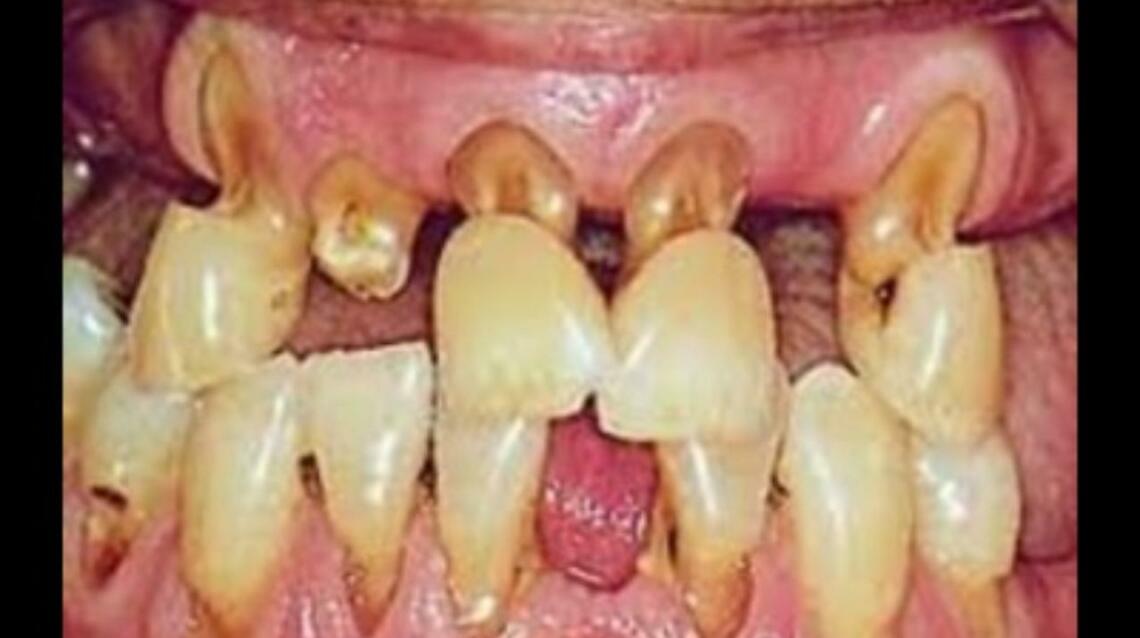
What Is Teeth Abrasion . what is tooth abrasion? tooth abrasion is a form of tooth wear that is caused by the repetitive grinding or scrubbing of the teeth against a hard. it’s easy to get into bad habits that cause tooth abrasion, but understanding abrasion of tooth is key to preventing and treating it. abfraction is a type of tooth damage near the gumline, generally caused by misalignment or grinding of the teeth. dental abrasion is a dental problem that can be caused by various factors, including poor oral hygiene, diet,. Learn how to recognize abfraction, why you need to see a dentist, and. Tooth abrasion is where your teeth start to lose enamel due to some sort of outside mechanical action;
from dentagama.com
tooth abrasion is a form of tooth wear that is caused by the repetitive grinding or scrubbing of the teeth against a hard. it’s easy to get into bad habits that cause tooth abrasion, but understanding abrasion of tooth is key to preventing and treating it. what is tooth abrasion? dental abrasion is a dental problem that can be caused by various factors, including poor oral hygiene, diet,. Tooth abrasion is where your teeth start to lose enamel due to some sort of outside mechanical action; abfraction is a type of tooth damage near the gumline, generally caused by misalignment or grinding of the teeth. Learn how to recognize abfraction, why you need to see a dentist, and.
What is the difference between dental attrition, abfraction, erosion
What Is Teeth Abrasion abfraction is a type of tooth damage near the gumline, generally caused by misalignment or grinding of the teeth. what is tooth abrasion? abfraction is a type of tooth damage near the gumline, generally caused by misalignment or grinding of the teeth. Learn how to recognize abfraction, why you need to see a dentist, and. it’s easy to get into bad habits that cause tooth abrasion, but understanding abrasion of tooth is key to preventing and treating it. tooth abrasion is a form of tooth wear that is caused by the repetitive grinding or scrubbing of the teeth against a hard. dental abrasion is a dental problem that can be caused by various factors, including poor oral hygiene, diet,. Tooth abrasion is where your teeth start to lose enamel due to some sort of outside mechanical action;
From ambiancedental.ca
What Causes Tooth Abrasion & How to Prevent It • Ambiance Dental What Is Teeth Abrasion Learn how to recognize abfraction, why you need to see a dentist, and. dental abrasion is a dental problem that can be caused by various factors, including poor oral hygiene, diet,. abfraction is a type of tooth damage near the gumline, generally caused by misalignment or grinding of the teeth. it’s easy to get into bad habits. What Is Teeth Abrasion.
From www.practo.com
Easy Preventable Dental Disorder Cervical Abrasion. What Is Teeth Abrasion it’s easy to get into bad habits that cause tooth abrasion, but understanding abrasion of tooth is key to preventing and treating it. tooth abrasion is a form of tooth wear that is caused by the repetitive grinding or scrubbing of the teeth against a hard. dental abrasion is a dental problem that can be caused by. What Is Teeth Abrasion.
From dentagama.com
What is the difference between dental attrition, abfraction, erosion What Is Teeth Abrasion Learn how to recognize abfraction, why you need to see a dentist, and. what is tooth abrasion? tooth abrasion is a form of tooth wear that is caused by the repetitive grinding or scrubbing of the teeth against a hard. Tooth abrasion is where your teeth start to lose enamel due to some sort of outside mechanical action;. What Is Teeth Abrasion.
From www.slideserve.com
PPT Tooth wear aetiology , prevention, clinical implication What Is Teeth Abrasion tooth abrasion is a form of tooth wear that is caused by the repetitive grinding or scrubbing of the teeth against a hard. abfraction is a type of tooth damage near the gumline, generally caused by misalignment or grinding of the teeth. dental abrasion is a dental problem that can be caused by various factors, including poor. What Is Teeth Abrasion.
From www.dreamstime.com
Teeth Abrasion Stock Photo Image 28859070 What Is Teeth Abrasion Tooth abrasion is where your teeth start to lose enamel due to some sort of outside mechanical action; dental abrasion is a dental problem that can be caused by various factors, including poor oral hygiene, diet,. tooth abrasion is a form of tooth wear that is caused by the repetitive grinding or scrubbing of the teeth against a. What Is Teeth Abrasion.
From www.pinterest.com
Toothbrush Abrasion, overbrushing can lead to sensitive teeth and What Is Teeth Abrasion it’s easy to get into bad habits that cause tooth abrasion, but understanding abrasion of tooth is key to preventing and treating it. abfraction is a type of tooth damage near the gumline, generally caused by misalignment or grinding of the teeth. tooth abrasion is a form of tooth wear that is caused by the repetitive grinding. What Is Teeth Abrasion.
From www.youtube.com
Tooth Wear Attrition Erosion Abrasion CEREC Omnicam and Enamic to the What Is Teeth Abrasion Tooth abrasion is where your teeth start to lose enamel due to some sort of outside mechanical action; abfraction is a type of tooth damage near the gumline, generally caused by misalignment or grinding of the teeth. what is tooth abrasion? dental abrasion is a dental problem that can be caused by various factors, including poor oral. What Is Teeth Abrasion.
From dentagama.com
How to deal with teeth abrasion? News Dentagama What Is Teeth Abrasion what is tooth abrasion? dental abrasion is a dental problem that can be caused by various factors, including poor oral hygiene, diet,. it’s easy to get into bad habits that cause tooth abrasion, but understanding abrasion of tooth is key to preventing and treating it. Tooth abrasion is where your teeth start to lose enamel due to. What Is Teeth Abrasion.
From dentagama.com
What is the difference between dental attrition, abfraction, erosion What Is Teeth Abrasion dental abrasion is a dental problem that can be caused by various factors, including poor oral hygiene, diet,. tooth abrasion is a form of tooth wear that is caused by the repetitive grinding or scrubbing of the teeth against a hard. Tooth abrasion is where your teeth start to lose enamel due to some sort of outside mechanical. What Is Teeth Abrasion.
From www.clarencetam.co.nz
Root abrasion lesions restored and protected What Is Teeth Abrasion dental abrasion is a dental problem that can be caused by various factors, including poor oral hygiene, diet,. tooth abrasion is a form of tooth wear that is caused by the repetitive grinding or scrubbing of the teeth against a hard. it’s easy to get into bad habits that cause tooth abrasion, but understanding abrasion of tooth. What Is Teeth Abrasion.
From www.dreamstime.com
Teeth abrasion stock photo. Image of cavity, patient 28480644 What Is Teeth Abrasion abfraction is a type of tooth damage near the gumline, generally caused by misalignment or grinding of the teeth. dental abrasion is a dental problem that can be caused by various factors, including poor oral hygiene, diet,. Tooth abrasion is where your teeth start to lose enamel due to some sort of outside mechanical action; it’s easy. What Is Teeth Abrasion.
From www.directorioodontologico.info
ABRASIÓN DENTAL Silenciosa destrucción del diente Directorio What Is Teeth Abrasion dental abrasion is a dental problem that can be caused by various factors, including poor oral hygiene, diet,. abfraction is a type of tooth damage near the gumline, generally caused by misalignment or grinding of the teeth. tooth abrasion is a form of tooth wear that is caused by the repetitive grinding or scrubbing of the teeth. What Is Teeth Abrasion.
From www.santosh.ac.in
Dental Abrasion What Is Teeth Abrasion tooth abrasion is a form of tooth wear that is caused by the repetitive grinding or scrubbing of the teeth against a hard. it’s easy to get into bad habits that cause tooth abrasion, but understanding abrasion of tooth is key to preventing and treating it. dental abrasion is a dental problem that can be caused by. What Is Teeth Abrasion.
From bayomartindental.com
Abrasión dental qué es, por qué se produce y qué tratamiento es necesario What Is Teeth Abrasion it’s easy to get into bad habits that cause tooth abrasion, but understanding abrasion of tooth is key to preventing and treating it. tooth abrasion is a form of tooth wear that is caused by the repetitive grinding or scrubbing of the teeth against a hard. Tooth abrasion is where your teeth start to lose enamel due to. What Is Teeth Abrasion.
From traveltodentist.com
What is attrition, erosion, abrasion? Similarities. Differences. Solutions. What Is Teeth Abrasion dental abrasion is a dental problem that can be caused by various factors, including poor oral hygiene, diet,. tooth abrasion is a form of tooth wear that is caused by the repetitive grinding or scrubbing of the teeth against a hard. Learn how to recognize abfraction, why you need to see a dentist, and. Tooth abrasion is where. What Is Teeth Abrasion.
From nhantamdental.com
Tooth wear The difference between Abrasion, Erosion, Attrition and What Is Teeth Abrasion what is tooth abrasion? dental abrasion is a dental problem that can be caused by various factors, including poor oral hygiene, diet,. abfraction is a type of tooth damage near the gumline, generally caused by misalignment or grinding of the teeth. Learn how to recognize abfraction, why you need to see a dentist, and. tooth abrasion. What Is Teeth Abrasion.
From www.sjdentistry.com
Teeth Grinding or Bruxism — Stephen Johansen Dentistry What Is Teeth Abrasion dental abrasion is a dental problem that can be caused by various factors, including poor oral hygiene, diet,. it’s easy to get into bad habits that cause tooth abrasion, but understanding abrasion of tooth is key to preventing and treating it. what is tooth abrasion? tooth abrasion is a form of tooth wear that is caused. What Is Teeth Abrasion.
From www.teethtalkgirl.com
Signs Of Tooth Abrasion & How To Prevent It What Is Teeth Abrasion Tooth abrasion is where your teeth start to lose enamel due to some sort of outside mechanical action; abfraction is a type of tooth damage near the gumline, generally caused by misalignment or grinding of the teeth. what is tooth abrasion? dental abrasion is a dental problem that can be caused by various factors, including poor oral. What Is Teeth Abrasion.